
Указанные жалобы беспокоят примерно в течение 1 года. До обращения к врачу неоднократно лечилась антибиотиками от предполагаемой инфекции мочевыводящих путей. Хронические заболевания отрицает.
Нажмите, чтобы узнать правильный ответРезультаты обследований
Рис. 1. На КТ аксиальной (A) и коронарной (B) проекций органов малого таза обнаружено объемное и преимущественно однородно контрастирующееся поражение уретры с распространением на основание мочевого пузыря (стрелка на A и B). Мочевой пузырь обозначен буквой B на обоих изображениях.
Рис. 2. Сагиттальная МРТ в режимах T1W (A), T2W (B) и T2W с подавлением сигнала от жировой ткани (C): от всей уретры идет промежуточной интенсивности сигнал в режиме T1, а также гиперинтенсивность сигнала в режимах T2 и T2 FS из-за обширной опухолевой инфильтрации с облитерацией просвета. Нормальная анатомия уретры нарушена. Опухоль распространяется на переднюю часть влагалища (белые стрелки) и мочевой пузырь (B).
Рис. 3. Постконтрастная T1-взвешенная МРТ: опухоль демонстрирует выраженное усиление сигнала по всей своей высоте и ширине. Улучшенный вид распространения опухоли на мочевой пузырь.
Рис. 4. A и B: окрашивание гематоксилином и эозином (´400) – кубические клетки с гиперхромными ядрами, обильной прозрачной или бледно-эозинофильной цитоплазмой и заостренными концами.
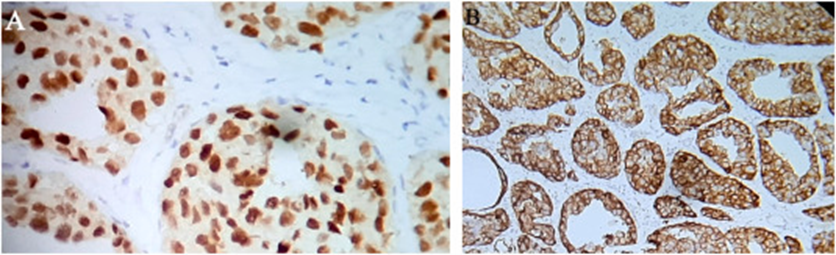
Рис. 5. Иммуногистохимическое окрашивание на PAX8, ´400 (A) и CK7, ´100 (B): опухоль демонстрирует диффузную ядерную экспрессию PAX8 и диффузную мембранную экспрессию CK7.
Мультидисциплинарная команда, состоящая из урологов, онкологов, рентгенологов и патологоанатомов, обсудила случай пациентки и после тщательного обследования предложила ей радикальную цистэктомию с подвздошно-кишечным анастомозом. К сожалению, пациентка отказалась от процедуры, сославшись на то, что она повлияет на качество ее жизни, учитывая ее низкий социально-экономический статус. В настоящее время больная мочится через установленный трансуретрально катетер.
Источник: Yacob Sheiferawe Seman, Michael Teklehaimanot Abera, Fadil Nuredin Abrar. Urethral clear cell adenocarcinoma in an adult female: A rare case report. Urology Case Reports, Volume 58, 2025, 102882, ISSN 2214-4420, DOI: 10.1016/j.eucr.2024.102882.